Dental Transformations: Before and After

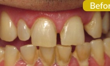
Before
Upper crowns and bridge to correct alignment, replace missing teeth, close spacing and discoloration.
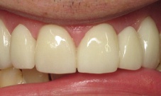
After
Upper crowns and bridge to correct alignment, replace missing teeth, close spacing and discoloration.

Upper crowns and bridge to correct alignment, replace missing teeth, close spacing and discoloration.

Before
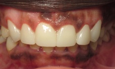
Gingival contouring, upper canine to canine crowns, to correct alignment, discoloration, decay and gum line.
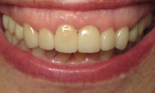
After
Gingival contouring, upper canine to canine crowns, to correct alignment, discoloration, decay and gum line.

Gingival contouring, upper canine to canine crowns, to correct alignment, discoloration, decay and gum line.

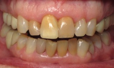
Before
Upper canine to canine crowns with gingival contouring to correct gum line, discoloration, alignment and 
fractured teeth.
After
Upper canine to canine crowns with gingival contouring to correct gum line, discoloration, alignment and 
fractured teeth.

Upper canine to canine crowns with gingival contouring to correct gum line, discoloration, alignment and 
fractured teeth.